ECHO SERCA przezprzełykowe TEE
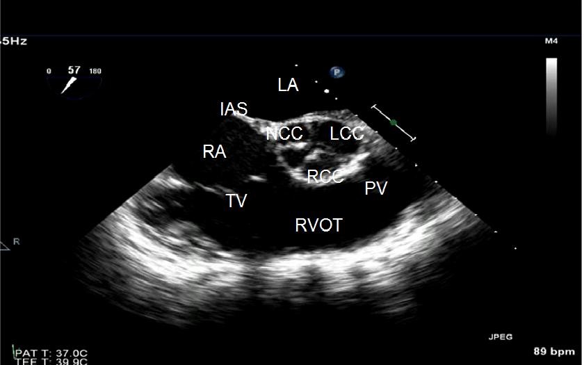
Echokardiograficzne badanie przezprzełykowe przeprowadza się w celu dokładniejszego zbadania serca. Dzięki temu, że przełyk przylega bezpośrednio do serca uzyskiwane obrazy są bardzo szczegółowe.
Badanie wykonywane jest z różnych wskazań:
| Ile kosztuje echo serca przezprzełykowe? | |
|---|---|
| Echo serca TEE | 400zł |
- Poszukiwanie sercowej przyczyny udaru mózgu – często zlecane przez neurologów
- Poszukiwanie sercowego źródła zatorów do innych niż mózg obszarów organizmu
- Badanie sztucznych zastawek serca
- Ocena wad serca wrodzonych i nabytych – chorób zastawek i przegród serca
- Badanie wad wrodzonych serca
- W każdym przypadku, gdy echokardiografia klasyczna nie daje ostatecznego rozpoznania.
Badanie wykonywane jest po znieczuleniu gardła i dożylnym podaniu niewielkiej ilości leku sedatywnego.
