USG jąder Lublin
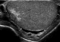
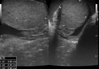
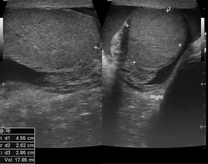
USG jąder w Lublinie w Centrum Medycznym PROVIVO to bezpieczne i nieinwazyjne badanie obrazowe, które pozwala ocenić zawartość worka mosznowego, w tym jądra, najądrza, ich osłonki oraz obecność żylaków powrózka nasiennego.
Badanie nie wymaga specjalnego przygotowania, jest bezbolesne i może być wykonywane u pacjentów w każdym wieku. Dzięki temu USG jąder stanowi ważny element diagnostyki w przypadku dolegliwości bólowych, zmian wyczuwalnych w obrębie moszny oraz problemów związanych z płodnością.
| Ile kosztuje USG jąder? | |
|---|---|
| USG jąder | 250 zł |
Kiedy warto wykonać USG jąder?
USG jąder powinno być wykonane w każdym przypadku, gdy pojawia się ból jąder, powiększenie moszny, wyczuwalny guzek lub wyciek z cewki moczowej. Badanie pomaga również w diagnostyce sytuacji, gdy jądro nie znajduje się w worku mosznowym i konieczne jest ustalenie przyczyny tego stanu.
Dodatkowym wskazaniem do wykonania badania są także niepowodzenia w rozrodzie. W takich przypadkach USG jąder może być ważnym uzupełnieniem szerszej diagnostyki męskiej płodności.
Co ocenia USG jąder?
Badanie umożliwia ocenę jąder, najądrzy, osłonek jąder oraz struktur znajdujących się w obrębie worka mosznowego. Pozwala także wykryć obecność żylaków powrózka nasiennego, które mogą mieć znaczenie kliniczne i wpływać na dalsze postępowanie diagnostyczne lub lecznicze.
USG jąder jest jednym z podstawowych badań obrazowych wykorzystywanych w diagnostyce zmian w obrębie moszny. Dzięki niemu lekarz może lepiej ocenić przyczynę dolegliwości i zdecydować o dalszych krokach.
Jak przygotować się do badania?
USG jąder nie wymaga żadnego specjalnego przygotowania. Pacjent nie musi być na czczo ani wykonywać dodatkowych czynności przed wizytą. To badanie szybkie, komfortowe i nieobciążające dla organizmu.
Czy USG jąder jest bezpieczne?
Tak, badanie jest bezbolesne i bezpieczne. Może być powtarzane wielokrotnie bez narażania pacjenta na szkodliwe promieniowanie, dlatego znajduje zastosowanie zarówno w diagnostyce jednorazowej, jak i w kontrolowaniu wcześniej rozpoznanych zmian.
USG jąder w Lublinie – umów badanie
Jeżeli zauważasz niepokojące objawy, odczuwasz ból jąder lub chcesz wykonać badanie w ramach diagnostyki męskiej płodności, umów USG jąder w Centrum Medycznym PROVIVO w Lublinie. To szybkie i ważne badanie, które może pomóc w ustaleniu przyczyny dolegliwości oraz zaplanowaniu dalszego postępowania.
